Прикусом называют смыкание верхней и нижней челюстей. С точки зрения ортодонтии он может быть правильным и неправильным.
Неправильный прикус — эстетическая и функциональная патология. Она требует исправления, так как вызывает потерю естественной привлекательности улыбки, деформацию нижней части лица, нарушения речи, затрудненное дыхание, травмирование тканей полости рта. Кроме того, из-за этого ухудшаются процессы пережевывания пищи и глотания, развивается патологический гипертонус лицевых мышц и создается избыточная нагрузка на височный сустав. Аномалия приводит к кариесу, пародонтиту и разрушению зубов, проблемам с пищеварением, психологическим расстройствам, головным болям, затруднениям при стоматологическом лечении и протезировании.
Виды неправильного прикуса, требующие исправления
Различают 5 видов аномального прикуса:
- Дистальный. Верхняя зубная дуга чрезмерно выступает над нижней. Контакт между резцами незначительный либо отсутствует.
- Мезиальный. Нижняя зубная дуга чрезмерно выступает вперед. Визуально проявляется неестественно вогнутым профилем и выступающим вперед подбородком, укороченной нижней частью лица, запавшей верхней губой.
- Открытый. Полное отсутствие контакта между зубными дугами. Считается самым опасным и сложным для исправления.
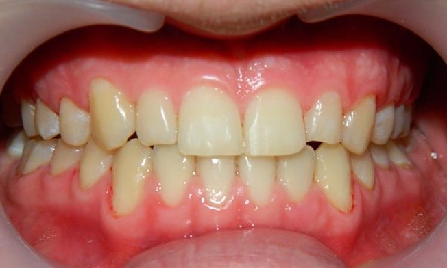
- Глубокий, или травмирующий. Перекрывание нижних зубов верхними резцами на 50 %. Наиболее распространенный вид патологии.
- Перекрестный. Пересечение зубных рядов в передней либо боковой части неравномерно развитых челюстей.
Показания к исправлению прикуса у взрослых:
- неправильное положение отдельных зубов;
- аномалии и дефекты зубного ряда;
- закрытие промежутков после удаления зубов;
- подготовка к протезированию.
Способы исправления прикуса у взрослых
Способы исправления прикуса делятся на нехирургические и хирургические. К нехирургическим относят использование ортодонтических конструкций (брекет-систем, элайнеров и трейнеров), а также установку виниров.
Наиболее эффективный и распространенный классический метод исправления прикуса — с помощью брекетов. Они представляют собой систему скоб, закрепленных на отдельных зубах, и функциональную дугу, зафиксированную по всему зубному ряду. Дуга создает контролируемое давление и постепенно двигает зубы в нужном направлении.
Для исправления несложных аномалий прикуса у взрослых иногда применяют виниры — керамические накладки на зубы. Их главное преимущество в том, что видимый эффект достигается сразу после установки. Но есть и недостаток: они не устраняют, а маскируют дефект.
Элайнеры и трейнеры — аналоги боксерских кап. Трейнеры бывают мягкими (их носят на начальном этапе лечения) и жесткими (на позднем). Конструкции доступны по цене, но существенно ухудшают дикцию, поэтому надеваются преимущественно на ночь, что увеличивает сроки лечения. Для исправления прикуса при сложных аномалиях не подходят.
Элайнеры — тонкие, визуально незаметные, комфортные, но довольно дорогие накладки. Изготавливаются индивидуально посредством сканирования полости рта. Требуют замены на новые каждые 2 недели. Подходят для коррекции незначительных аномалий.
Хирургические способы исправления прикуса у взрослых (челюстно-лицевые операции) показаны при тяжелых деформациях, когда консервативные методы неэффективны. Оптимальный способ коррекции аномалии выбирает врач-ортодонт. Окончательный вариант лечебной схемы согласовывают с пациентом. Чтобы проконсультироваться со специалистом и определить индивидуальную стоимость исправления прикуса в нашей клинике в СПб, запишитесь на прием через онлайн-форму или по телефону.
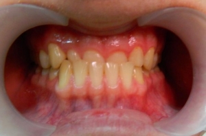
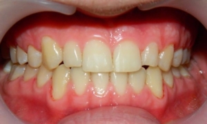
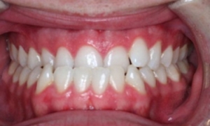
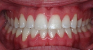
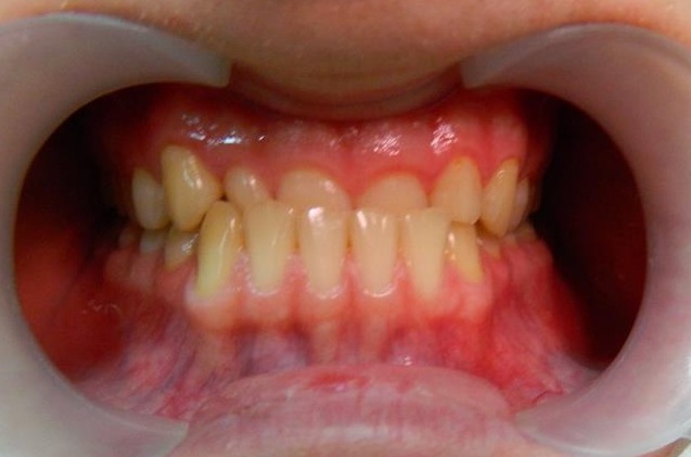
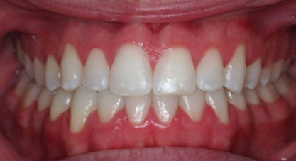
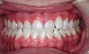
Примеры выполненных работ:
Отзывы наших пациентов



