Отсутствие одного или нескольких зубов во рту приносит человеку много неудобств. Съемное протезирование — оптимальный метод восстановления, который можно применять при наличии противопоказаний к установке несъемных конструкций. Сегодняшний уровень развития стоматологии предоставляет на выбор несколько видов протезов, которые отличаются между собой параметрами и стоимостью.
Виды съемных зубных протезов
Все конструкции, которые можно снимать, делятся на два вида:
- Полные съемные протезы. Заменяют все зубы в челюсти. Красивая улыбка и полноценная возможность пережевывания пищи — основное преимущество полного съемного протезирования. Они являются отличным решением для пожилых пациентов, которым по тем или иным причинам противопоказана установка имплантов.
- Частичные съемные протезы. Применяются для восстановления одного или нескольких отсутствующих зубов. Имеют различные способы фиксации. Их можно установить и в качестве временного решения перед установкой более надежных несъемных конструкций.
Съемные протезы изготавливаются из пластмассы и термопластичных материалов (Акри-фри/ нейлон). Протез из нейлона ставится по очень узким показаниям, которые дает только врач. Съемные протезы делятся на два типа: частичные (с присутствием своих зубов) и полные (полное отсутствие зубов) съемные протезы.
Частичные съемные протезы бывают:
- бюгельные;
- косметические съемные протезы («бабочка», «птичка»).
Выбор точного метода полного съемного протезирования зубов зависит от состояния ротовой полости пациента, его требований к результату и стоимости лечения.
Этапы изготовления съемных зубных протезов
В среднем от первого посещения стоматолога до завершающей установки конструкции проходит 2–3 недели. Качество и надежность съемного протезирования зависят от четкого выполнения каждого этапа данной технологии:
- Санация ротовой полости, которая включает в себя удаление нежизнеспособных зубов, лечение воспалительных процессов, кариеса и других заболеваний при их наличии.
- Изготовление слепка челюстей и подбор материала будущих протезов.
- Изготовление изделия по слепку в лаборатории.
- Примерка и коррекция готового изделия.
- Окончательная установка.
Важно через пару недель после окончательного привыкания к протезам посетить стоматолога. Специалист проведет осмотр ротовой полости и конструкции для выявления возможных недочетов и их исправления.
Рекомендации по уходу за съемными протезами
Основным условием длительной эксплуатации и отсутствием проблем со здоровьем ротовой полости является соблюдение правил ухода. Чтобы съемные протезы прослужили дольше, необходимо следующее:
- проводить их ежедневную очистку мягкой щеткой;
- регулярно использовать дезинфицирующие средства;
- периодически посещать стоматолога для чистки и реставрации конструкций.
Постоянный и тщательный уход обеспечит новым зубам максимальный срок службы.
Протез из материала Акри-фри фирмы «Перфлекс»
Страна производитель — Израиль. Плюсы:
- Получение эстетичного результата: материал более прозрачен — не видны крепления на деснах, даже при общении на близком расстоянии.
- Изделие приятно на ощупь, качественно выполнено и продуманно до мельчайших деталей, благодаря чему удобно в использовании.
- По гибкости приближен к нейлону, по техническим качествам похож на Акри-фри.
- Стабильность цвета.
- Прочность.
- Легкость в починке, большой срок службы.
- Можно сделать значительно тоньше, что добавит комфорта при ношении.
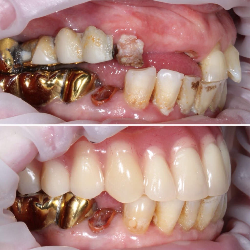
Примеры выполненных работ:
Полный съемный акриловый протез (базис — Германия, цвет зубов А—1).
Врач: стоматолог-хирург-ортопед Мамедов Р.М.
До:
После:
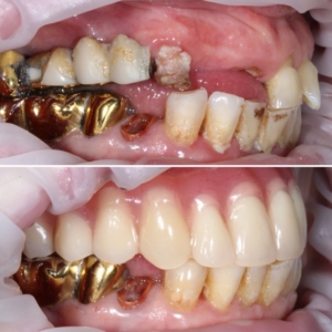
Примеры выполненных работ:
Съемный протез Акри-фри фирмы «Перфлекс».
Врач: стоматолог-ортопед-хирург-имплантолог Мамедов Р.М.
Примеры выполненных работ:
Условно-съёмный металло-пластмассовый протез. Устанавливается с помощью технологии Аll-on-4 (Все-на-четырёх).
Примеры выполненных работ:
Полный съёмный протез «Акри-Фри» «Перфлекс». Высокая эстетика, эластичность и прозрачность материала делают протез невидимым на деснах, даже при близком расстоянии. Приятный на ощупь, бархатистый, доставляющий удовольствие при ношении.
Отзывы наших пациентов










