Неправильный прикус является достаточно распространенной проблемой в наше время. Его выявляют как у взрослых, так и у детей. Деление на возрастные группы проводится не случайно, ведь именно от этого параметра будет зависеть метод лечения, который сможет устранить проблему. Исправлением прикуса занимается раздел стоматологии, который называется ортодонтия. Именно о нем подробнее поговорим в этой статье.
Кому необходима ортодонтия
Первые признаки нарушения прикуса начинают проявляться еще в раннем детстве. Способствовать этому могут врожденные аномалии челюстного аппарата, детские вредные привычки (сосание пальца), неправильная работа мышц и др. По этой причине родители с ребенком должны регулярно посещать центр ортодонтии с профилактической целью.
Специализированная помощь может потребоваться и взрослым. Далеко не каждый человек, независимо от образования и социального уровня, может похвастаться красивыми ровными зубами. Способствовать этому могут следующие состояния:
- Тесное расположение зубов.
- Различные аномалии прикуса.
- Врожденные особенности зубочелюстной системы.
Посетить клинику ортодонтии необходимо по двум простым причинам. Во-первых, данные проблемы ухудшают внешний вид зубов. Во-вторых, они приводят к значительным функциональным нарушениям и способствуют развитию более серьезных осложнений.
Основные методы лечения в ортодонтии
В зависимости от возраста и проблемы, которая отмечается у пациента, врач может предложить различные методы лечения. Большинство нарушений, которые развиваются в детском возрасте, в ортодонтии устраняют при помощи щадящих способов, которые подразумевают установку кап или пластинок. Связано это с тем, что у детей зубы относительно легко поддаются коррекции. Самый популярный способ лечения, который применяют в каждой клинике ортодонтии, заключается в установке брекетов. Они состоят из двух составных частей — металлической дуги и замков, которые фиксируются к зубам. Брекеты отличаются по материалу, конструктивным особенностям, способу установки, стоимости. Применяют их у взрослых и детей старше 14 лет.
В сложных и тяжелых случаях назначается хирургическое лечение. Суть его заключается в перемещении фрагментов костей, удалении зубов, пластике мягких тканей. В центре ортодонтии такое лечение обычно применяют с целью устранения врожденных аномалий или последствий тяжелых травм. Нередко такой вид лечения комбинируется с описанными выше методами.
Этапы лечения в ортодонтии
Среди основных этапов, которые должен пройти пациент, можно отметить:
- Осмотр и консультация стоматолога.
- Диагностика (в ортодонтии часто применяют прицельные и панорамные снимки зубов, 3D-томографию челюстей).
- Подготовительный этап. Включает в себя санацию ротовой полости, профессиональную гигиену и другие процедуры, при необходимости.
- Непосредственно ортодонтическое лечение по заранее разработанному плану.
- Закрепление достигнутого результата.
Отличительной особенностью ортодонтии является длительное время лечения, которое может растягиваться на 1,5–2 года. Поэтому пациенту следует запастись терпением и строго следовать всем рекомендациям специалиста.
Стоматология «ФЕНИКС» в Санкт-Петербурге всегда рада сделать вашу улыбку привлекательной. В этом нам помогают новейшее оборудование, инструменты, расходные материалы, а также высокий профессионализм врачей-ортодонтов и многолетний опыт работы. Мы успешно справляемся даже с самыми сложными задачами. Ждем вас ежедневно по адресу СПб, ул. Мартыновская, 3.
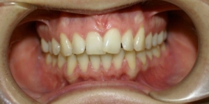
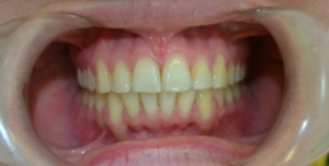
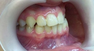
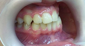
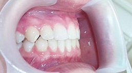
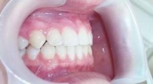
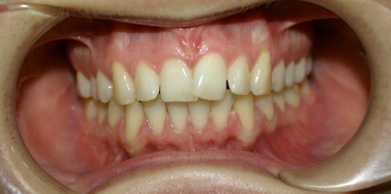
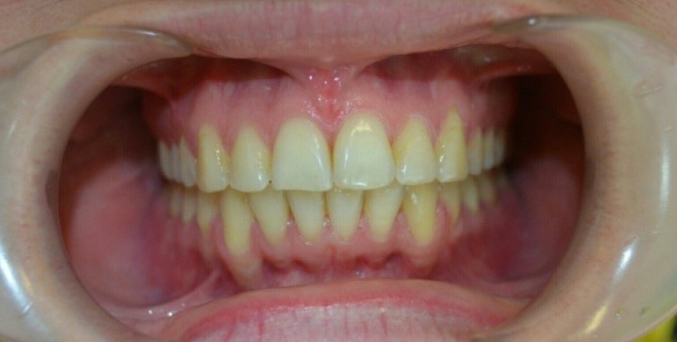
Примеры выполненных работ:
Отзывы наших пациентов



