Брекет-система — стоматологическая конструкция, предназначенная для устранения аномалий прикуса и коррекции атипичного положения зубов. Состоит из брекетов (замочки, которые крепятся к зубной поверхности), ортодонтической дуги и лигатур (фиксаторы, удерживающие дугу в пазах замков).
Прикус — соотношение зубов верхней и нижней челюсти. Нарушение естественного взаимодействия зубных рядов при смыкании говорит и наличии патологии. Это приводит к ухудшению жевательной функции и дикции, может стать причиной асимметрии лица.
Когда необходимо исправление прикуса брекетами?
Коррекция с помощью брекет-системы показана при наличии:
- тяжелых нарушений прикуса;
- увеличенного расстояния между зубами;
- искривления или смещения отдельных костных структур полости рта;
- асимметрии лица, обусловленной челюстными деформациями;
- челюстных аномалий и деформаций, возникших после травм.
В каком возрасте эффективно исправление прикуса брекетами?
Впервые показать ребенка ортодонту необходимо в возрасте 3-5 лет. При обнаружении дефектов врач предложит методы профилактики и исправления прикуса. Оптимальный срок коррекции у детей — 9-15 лет. В этом возрасте ликвидация патологического смыкания челюстей и атипичного положения элементов в зубном ряду происходит максимально эффективно и с минимальным дискомфортом.
Исправление прикуса брекетами у взрослых также дает ожидаемые результаты, но, как правило, занимает больше времени. Получить консультацию по данному вопросу вы можете на приеме ортодонта в стоматологии «ФЕНИКС».
Виды брекетов для исправления прикуса
Коррекция проводится с помощью ортодонтической системы. Выбирается конструкция, удовлетворяющая эстетические запросы пациента и позволяющая врачу эффективно организовать терапию. Для исправления прикуса используются следующие разновидности брекетов:
- лингвальные — фиксируются с оральной (внутренней) стороны языка, не видны при разговоре и улыбке;
- вестибулярные — устанавливаются на внешней поверхности зубного ряда.
Выбирая подходящие брекеты для исправления прикуса, необходимо знать, что наиболее эффективные и самые дешевые — металлические системы. Керамические и сапфировые — эстетичные, но стоят дороже. Лингвальные — абсолютно невидимы, но являются наиболее дорогим вариантом.
Как происходит выравнивание зубов?
Исправление прикуса брекетами включает в себя такие этапы:
- Диагностический. Ортодонт осматривает полость рта пациента, выполняет слепки челюстей, направляет на рентгенографию челюстей. На основе полученных данных врач предлагает стратегию ортодонтического лечения и тип брекет-системы.
- Санация полости рта (при необходимости). Излечиваются очаги кариеса, укрепляется зубная эмаль.
- Ортодонтический этап. Согласно выбранной стратегии терапии врач планирует траекторию движения зубов. На каждый из них устанавливается замочек. Брекеты соединяются между собой силовой дугой, которая проходит через пазы. Дуга имеет память формы и стремится вернуться в первоначальное положение, увлекая за собой зубы и перемещая их в нужное положение. По ходу терапии ортодонт регулирует натяжение дуги. Коррекция занимает 1-2 года.
- Закрепительный. После снятия брекет-системы пациенту необходимо носить ретейнеры.
В стоматологии «ФЕНИКС» проводится исправление прикуса у детей и взрослых. За подробной информацией обращайтесь телефонам, указанным на сайте.
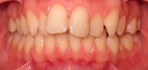
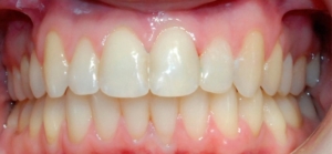
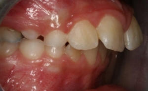
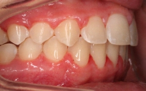
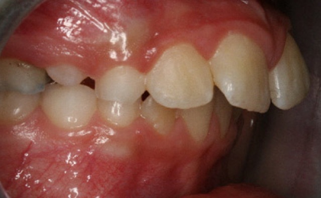
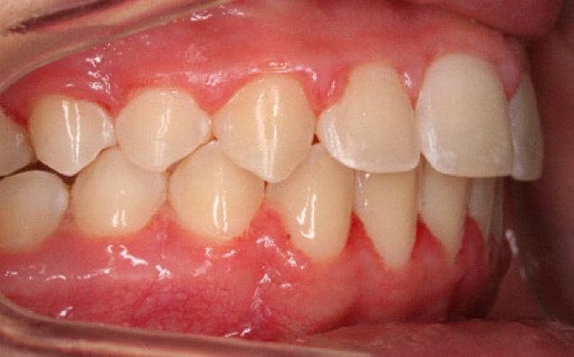
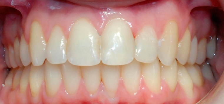
Примеры выполненных работ:
Отзывы наших пациентов



