Зубы ручной работы! На рынке стоматологических услуг с 2007 г.
Пн-пт.: с 9.00 до 21.00
Сб-вс.: с 10.00 до 20.00

fenixstoma@fenixstoma.su

Эстетические съемные протезы

Те, кто давно утратил свои зубы, знают не по наслышке о съемных протезах. Сейчас по-сравнению с первыми полными съемными протезами нынешние протезы изготавливаются из более современных материалов. 

Это помогает быстрей привыкать к полным съемным протезам. Делает их более долговечными, удобными в использовании и т.д.

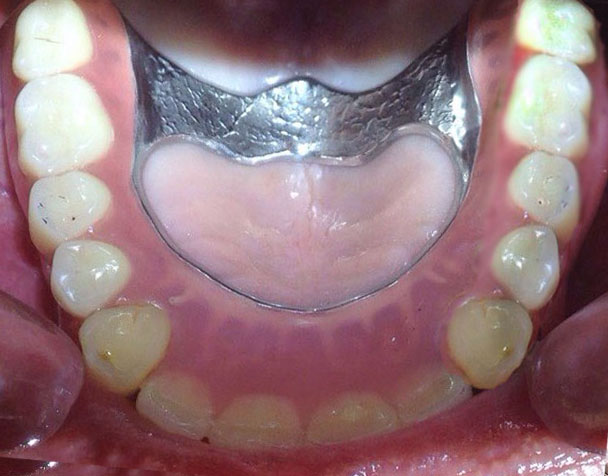
Но стоматология не стоит на месте. И на данный момент есть еще более совершенные съемные протезы. Так называемые эстетические съемные протезы. Они бывают полные (если отстутсвуют все зубы на одной челюсти) или частичные (замещают те части, где отсутствуют зубы на одной челюсти).

В чем их преимущества:

1. Отсутствуют металлические крючки. Раньше они портили внешний вид улыбки. Посторонние люди сразу видели, что пациент носит съемный протез. Сейчас крепление протеза происходит за счет специальных выступов на протезе. Эти выступы выполнены из пластмассы. Они имеют естесственную светопроницаемость и изготовлены под цвет собственной десны. Таким образом никто больше не заметит то, что пациент носит съемный протез.

2. Протез изготовлен из пластмассы, но имеет внутри протеза металлическую пластину. За счет этого мы уменьшаем количество пластмассы во рту. Соответственно, небо более открыто, и пациент имеет возможность лучше ощущать вкус пищи. А также быстрей привыкает к протезу.

3.Плюс это помогает решить задачу с рвотным рефлексом у пациента.

4. Наличие металлической пластины также  в разы увеличивает прочность протеза. А соответственно и срок службы съемного протеза.

5. Дополнительным плюсом является то, что наша клиника имеет возможность создать индивидуальный дизайн металлической пластины. На пластине могут быть различные рисунки и надписи. Например, имя, инициалы и т.д.

Отзывы наших пациентов

Огромная благодарность и признательность доктору Манохиной Марине Сергеевне и ее ассистентам!!! Профессионализм, внимание к пациенту и индивидуальный подход лично ...

Ивашкина Т.А.

08.10.2018 г.

Читать полностью

В который раз я обращаюсь к Михаилу Евгеньевичу и хочу отметить, что это высокопрофессиональный доктор с золотыми руками и большими знаниями своего дела...

Новикова Галина Георгиевна

17.07.2018 г.

Читать полностью

Я от всей души выражаю благодарность всем работникам клиники «ФЕНИКС». Милым девочкам, которые встречают с такой добротой, вниманием, заботой...

Хайко А. Д.

28.04.2018 г.

Читать полностью

Благодарю за возвращение мне улыбки, за новые и красивые зубы врача Мамедова Рауля Мазахировича! ...

Людмила Масалева

28.03.2018 г.

Читать полностью

Самый лучший доктор – Лобач Михаил Евгеньевич!!!! Спасибо! ...


Громова Татьяна Николаевна


Читать полностью

Восстанавливала форму передних зубов. Идеально подобрали цвет и быстро выполнили работу. Не больно! Очень чуткий и отзывчивый врач Шипицина Елена Сергеевна...

Наталья Б.

24.03.2018 г.

Читать полностью
×
Заказать обратный звонок Оставьте номер своего телефона,
мы свяжемся с Вами в ближайшее время
×
Контроль качества Оставьте номер своего телефона,
мы свяжемся с Вами в ближайшее время